審美治療の症例一覧
歯茎のライン・見た目が気になる前歯を審美修復した症例

歯茎のライン・見た目が気になる前歯を審美修復した症例 こちらの患者さまは、前歯の見た目を改善したいとの主訴で来院されました。 初診時の口腔内 歯茎の高さのラインをみるとバラバラになっていました。このままの状態で新しいかぶ […]
奥歯のブリッジを銀歯からジルコニアへ変更した症例

奥歯のブリッジを銀歯からジルコニアへ変更した症例 こちらの患者さまは、左上奥歯の銀歯のブリッジを白いものに変えたいとの事で来院されました。 真ん中の歯が無くなってから長年ブリッジで使用していたので、上の骨が殆どない状態に […]
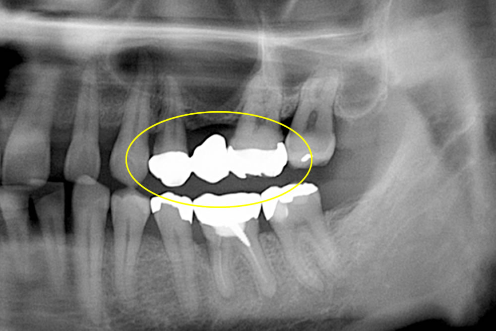
目立つ奥歯の銀歯を審美充填で改善した症例

目立つ奥歯の銀歯を審美充填で改善した症例 こちらの患者さまは、銀歯の見た目が気になるとの主訴で来院されました。 初診時の口腔内 奥歯に銀歯が装着されており、お話する際などに銀歯が目立つため、保険外の審美充填で改善する計画 […]
前歯の大きな虫歯に審美充填を行なった症例

前歯の大きな虫歯に審美充填を行なった症例 こちらの患者さまは前歯が黒くなって気になるとのことでした。 欠けるリスクがあるのでかぶせ物も提案しましたが、もし欠けるようであれば被せるとのことで、今回は審美充填を選択されました […]
銀歯の下の黒くなった虫歯に審美充填を行った症例

銀歯の下の黒くなった虫歯に審美充填を行った症例 こちらの患者さまは、銀歯の下が黒ずんできて虫歯になっているので、治療の必要性を説明しました。 患者さまは銀歯を白くしたいとの事でしたので審美充填する事になりました。 銀歯の […]
極力歯を削らずに前歯の隙間(すきっ歯)を改善した症例

極力歯を削らずに前歯の隙間(すきっ歯)を改善した症例 こちらの患者さまは、歯と歯の隙間が気になるとの事で来院されました。 ダイレクトボンディング、ラミネートベニア、クラウンの治療計画を提示させていただき、患者さまは歯を削 […]
前歯の変色したつめ物を審美修復した症例

前歯の変色したつめ物を審美修復した症例 こちらの患者さまは、過去に治療した前歯の古いつめ物の色が気になるため、綺麗にしてほしいとの事で来院されました。 古いつめ物を取り除いた後、内部の虫歯を綺麗に削り、その日のうちに2本 […]
ぶつけて折れた前歯を1日で治療した症例

ぶつけて折れた前歯を1日で治療した症例 こちらの患者さまは、ぶつけて折れた前歯を治療したいとの主訴で来院されました。 初診時の口腔内 ぶつけた下顎の前歯が破折しています。見た目が気になるので審美充填で修復する事になりま […]
虫歯になった銀歯をセラミックインレーに変えた症例

虫歯になった銀歯をセラミックインレーに変えた症例 銀歯の下で虫歯になっているので修復する事になり、どうせなら白くしたいとのご要望があったため、セラミックで修復する計画を立てました。 銀歯を外し、内部の虫歯を完全に取り切り […]



