インプラント
このページの目次
- 1 ブリストデンタル三郷のインプラント治療が選ばれる9つの理由
- 2 理由①インプラント3000症例以上の実績
- 3 理由②CTによる精密検査、精密診断
- 4 歯科用CT DEXIS オルソパントモグラフ OP 3D LXについて
- 5 理由③安全性の高いインプラント体を採用
- 6 straumann BLXインプラントについて
- 7 ストローマンインプラントのSRAアバットメントについて
- 8 スタンダードインプラントとプレミアムインプラントの治療期間
- 9 理由④サージカルガイドでリスクを抑えた精密な埋入手術が可能
- 10 理由⑤口腔内3Dスキャナーによる精度の高いスムーズな型どり
- 11 理由⑥「All on 4」・「Pro Arch」に対応
- 12 理由⑦上顎の骨が少ない方にはザイゴマインプラントをご提案
- 13 理由⑧骨量が足りない方には骨造成の併用でインプラントを可能に
- 14 理由⑨治療に伴うリスク説明の徹底
- 15 インプラント治療の流れ
- 16 インプラントを生涯お使いいただくために
- 17 メンテナンスにてインプラント周囲粘膜炎を発見・改善した症例
- 18 手厚いサポート体制!当院でのインプラントメンテナンス
- 19 当院で実施したインプラント治療の症例をご紹介
- 19.1 ①歯茎切らない・縫わないフラップレスインプラントの症例
- 19.2 インプラント治療前のレントゲン検査
- 19.3 フラップレスインプラント手術の実施
- 19.4 インプラント埋入完了
- 19.5 インプラント手術前後のレントゲン
- 19.6 上部構造の装着・治療完了
- 19.7 インプラント治療前後の比較
- 19.8 この症例の担当者のご紹介
- 19.9 院長 小松 雅之
- 19.10 ②かぶせ物の取れた歯を抜歯後にインプラントで治療した症例
- 19.11 ③他院で抜歯した部分をインプラントで治療した症例
- 19.12 この症例の担当者のご紹介
- 19.13 副院長 岡勢 隆蒔
- 19.14 ④他院で受けたインプラントを再治療で修正した症例
- 20 一般的なケースでのインプラント一本あたりの概算
- 21 インプラント治療の費用
- 22 インプラント手術キャンセルポリシーについて
- 23 三郷でインプラント治療ならブリストデンタル三郷の無料相談へ
ブリストデンタル三郷のインプラント治療が選ばれる9つの理由

ブリストデンタルクリニック三郷には、ほぼ毎月インプラント治療におけるセカンドオピニオン(無料相談)の患者さまがいらっしゃっており、それは三郷近辺のみならず、埼玉全域よりご来院いただいています。口コミ、インターネットなど、そのきっかけは様々ですが、当院のインプラント治療が選ばれる9つの理由をご紹介します。
- ① インプラント3000症例以上の実績、名医による治療!
- ② CTによる精密検査、精密診断!
- ③ 安全性の高いインプラント体を採用!
- ④ サージカルガイドでリスクを抑えた精密な埋入手術!
- ⑤ 口腔内3Dスキャナーによる精度の高いスムーズな型どり!
- ⑥「All on 4」・「Pro Arch」にも対応
- ⑦上顎の骨が少ない方にはザイゴマインプラントをご提案
- ⑧ 骨量が足りない方には骨造成を併用で治療を可能に
- ⑨ リスク説明を徹底する!
インプラント治療の無料相談実施中
ブリストデンタルクリニック三郷では、患者さまに不安なくインプラント治療を受けていただけるよう、無料相談を実施しております。インプラント治療をご検討中の方はぜひ、お気軽にご相談ください。
理由①インプラント3000症例以上の実績
インプラント治療は、執刀する歯科医師のレベルが、術前診断、術後の経過や見た目、残存期間などに大きく影響してきます。
ブリストデンタルクリニック三郷では、これまで3000症例以上のインプラント治療実績があります。ブリストデンタルクリニック三郷では、経験を積んだドクターが担当しております。
医療メディア【インプラントDOC】【Medical DOC】で当院が紹介されました
医療メディア【インプラントDOC】【Medical DOC】の「埼玉県のおすすめしたいインプラント名医」「三郷市のインプラント医院 おすすめしたい医院」にて、ブリストデンタルクリニック三郷が紹介されました。
詳細については、下の画像をクリックしてご覧ください。
インプラントコーディネーターが在籍
当院には、「インプラントコーディネーター」が在籍しております。インプラントコーディネーターとは、インプラントについての知識を備えているかの試験をクリアした、インプラント治療についての知識に長けた人のことです。
インプラントについて疑問に思うことは、遠慮なくご質問ください。
理由②CTによる精密検査、精密診断
CTは、撮影部分を立体的な映像としてコンピューター上に再現できる優れた装置です。総合病院での検査で用いられていますが、歯科の分野でも大いに活躍しています。
当院でインプラント治療を行う場合でも歯科用CT撮影を推奨しており、通常のレントゲンだけではわかりにくいさまざまな情報を得るために活用しています。
特に、顎骨に穴を空けてインプラントを埋め込む治療では、細かい情報を得られるかどうかが安全性と深く関係しています。インプラント治療のリスク軽減にCTは不可欠な装置です。
CTインプラント=安全性の向上=事故防止
CT撮影の優れたところは、歯茎に隠れている骨の質や厚み、神経や血管の位置が把握できるということです。
事前にそうした情報を得ていると、インプラントを埋め込むのに適した場所を特定し、確実性の高い治療が可能になり、インプラント事故防止に繋がります。
歯科用CT DEXIS オルソパントモグラフ OP 3D LXについて

ブリストデンタルクリニック三郷では、歯科用CTとレントゲンの複合機である「DEXIS オルソパントモグラフ OP 3D LX」を完備し、インプラント治療をはじめ、様々な治療の診断・検査の際に使用しております。
DEXIS オルソパントモグラフ OP 3D LXの特徴
高解像度スキャンで精密診断が可能

インプラント治療に適した高解像度スキャンをはじめ、金属や修復物によるノイズ(画像の乱れ)の影響を最小限に抑えられることで精密な診断・診断が可能となります。
短時間で撮影可能

お口全体のパノラマレントゲンはわずか9秒という短時間で撮影が可能なため、鮮明な画像を撮影しやすく、被ばく線量も最小限に抑えることができます。
嘔吐反射が強い方でも安心

DEXIS オルソパントモグラフ OP 3D LXの部分パノラマ機能は、口腔内にフィルムを入れずに撮影が可能なため、嘔吐反射が強い方も安心です。
AIサポートによる処理で治療時間の短縮

付帯のソフトにはAIテクロノジーが搭載されており、スムーズな処理が可能となるため、治療時間の短縮に繋がります。
DEXIS オルソパントモグラフ OP 3D LXについて動画で解説
理由③安全性の高いインプラント体を採用

当院では、株式会社GC、straumann社のインプラント体をそれぞれの特性に分けて使い分けております。近頃多くなってきている「激安インプラント」で使用されるような安価で信頼性も低く、安全性にも疑問が残るようなインプラント体は絶対に使用しません。
当院で採用しているインプラントメーカーとその特徴についてご紹介します。
株式会社GC

安心の国産インプラント体です。院長はGC社のインプラントインストラクター兼、アドバイザーを務めています。
straumann社

インプラント治療には世界で認められている、信頼の高いストローマン(straumann)社製のインプラントも使用します。ブリストデンタルクリニックは、ストローマン社の正規パートナークリニックです。
straumann BLXインプラントについて

【Straumann®BLXシステムの特徴】
- 骨に穴をあける際の発熱を抑えることで周囲への組織を守ります。
- インプラント治療に適したスリムなデザインは埋入後、骨の表面への負荷を軽減する効果をもたらします。
- またインプラント埋入時に既存の骨をインプラントの周囲に凝縮し圧縮するため、高い強度をもたらします。
- 従来のインプラントより抜歯した後でも即時に埋入が可能になったり、骨が軟らかい方や少ない方などにも適用範囲が広がります。
ストローマン(straumann)インプラントは、世界70ヶ国以上で使用されているインプラントメーカーのトップクラス製品です。歴史と実績に裏付けられた信頼と安全性は確かなものです。
国内や海外でもインプラントメーカーは多数ありますが、 当院では長期安定と信頼性の高さからこのストローマン社製インプラントを導入しています。その分、高価なものになりますがお悩みやコンプレックス解消を実現するためにも是非、ご検討下さい。
インプラント治療にストローマンインプラントを選択する理由

SLActiveについて
SLActiveは、インプラントが骨と結合しやすい特殊な表面加工が施されており、通常は数ヵ月かかる治療期間を、最短3〜4週間まで短縮できる場合があります。
表面の細かな凹凸と高い親水性により、骨の細胞や血液中のタンパク質を引き寄せ、骨との結合をスムーズに促進します。
治療期間が短いメリット
- 細菌による感染リスクが軽減されます。
- 患者さまの心身的な負担が軽減されます。
- 痛みや腫れが抑えられます。
- 通院回数が少なくなるため、費用も抑えられます。
ストローマンインプラントのSRAアバットメントについて
SRAアバットメントは、ストローマン社のボーンレベルインプラントに使用されるスクリュー留めタイプの歯肉レベルアバットメントです。
インプラント体とアバットメントの接続部分が、歯肉レベルにあるのが特徴です。
SRAアバットメントの特長
インプラント周囲炎のリスク低減
ティッシュレベル(歯肉レベル)インプラントは、インプラント体とアバットメント(上部構造を固定する部分)の接続部分が歯肉の表面にあるため、感染経路となる隙間や段差が少ない構造です。そのため、インプラント周囲炎(インプラント周囲の炎症)のリスクが低減されます。
審美的な結果
インプラント体とアバットメントの接続部分が歯肉表面にあるため、歯肉ラインの審美的な再現に適しています。
衛生管理が容易
歯ぐきの表面に接続部分があるため、インプラントの周りの清掃がしやすく、トラブルが起きにくいです。
補綴物をスクリュー1本でインプラント体に締結する構造(アバットメントスクリューで締結)

※メインテナンス時、アバットメントごと取り外す必要あり
インプラント体にアバットメント(中間構造体)を装着、オクルーザルスクリューで着脱を行う構造

※メインテナンス時、補綴物のみで取り外しが可能
激安インプラントの落とし穴・・・
近年、1本数万円~10万円のいわゆる「激安インプラント」が横行しておりますが、まずこういったインプラント治療は上記のような多くの臨床を経て開発された安全性の高いといえるインプラント体を使用してはいません。
また、数年後に抜けたから再治療して欲しいと大学病院に駆け込む人が後を絶たないといいます。上記メーカーは仕入れ値だけで激安インプラントの値段を超えてしまいます。安いには理由があるんです。。。
スタンダードインプラントとプレミアムインプラントの治療期間
下記は当院で取扱いのあるスタンダードインプラントとプレミアムインプラントの治療期間の比較となります。
プレミアムインプラントはオペが1回のため、その分治療期間が短くなります。できるだけ短期間でインプラント治療を完了させたい方にはプレミアムインプラントがおすすめです。

理由④サージカルガイドでリスクを抑えた精密な埋入手術が可能
ブリストデンタルクリニック三郷では、精密なインプラント治療を実施するため、CT検査のデータやシミュレーションデータを基に製作したサージカルガイドというマウスピース型の器具を埋入手術の際に使用します。
サージカルガイドはインプラントの適切な埋入角度や最終到達などが反映されているため、シミュレーション通りの位置にインプラントを埋入することができ、さらにドリルのブレを抑えて保持することによって手術中の人為的ミスを防止します。また、サージカルガイドを使用することによって歯茎を切開しない・縫わないフラップレス手術が可能となります。
サージカルガイドを用いた切らない・縫わない・負担の少ないフラップレス手術

一般的なインプラント手術では、埋入部分の歯茎を切開・剥離後にドリルで顎骨に穴を開けてインプラントを埋入し、歯茎を縫合します。
一方、サージカルガイドを使用したインプラント手術では、歯茎を切らずに埋入部分だけに穴を開けるフラップレス手術が可能となるため、縫合も必要なく、傷口が小さいことで術後の疼痛や腫れを最小限に抑えることができます。
フラップレス手術で最速90秒のインプラント手術が可能
サージカルガイドを用いたフラップレス手術では、歯茎の切開・剥離等が必要ないため、大きな問題がない場合は最速90秒という短時間でインプラント埋入手術が可能となります。
理由⑤口腔内3Dスキャナーによる精度の高いスムーズな型どり

ブリストデンタルクリニック三郷では、口腔内スキャナー「3Shape TRIOS5」を導入しております。
インプラントの上部構造(人工歯)をはじめ、つめ物・かぶせ物を製作する際は、歯型や咬み合わせのデータが必要となります。
一般的にはアルジネートと呼ばれるガムのような材料を使用して歯型を採取しますが、型ズレが生じやすく、材料が固まるまでお口の中に入れておかなければならないため、嘔吐反射が強い場合は気持ち悪くなり、苦手な方も多くいらっしゃいます。

口腔内スキャナー「3Shape TRIOS5」は、カメラで口腔内を撮影するだけで精密な口腔内データを採取することができるため、不快感を感じることもなく、短時間で精度の高い型取りが可能です。
また、口腔内スキャナー「3Shape TRIOS5」は、2種類の光の組み合わせによってスキャン時に虫歯を視覚化できるため、虫歯の見落としを防ぎ、治療後のトラブル軽減に繋がります。
理由⑥「All on 4」・「Pro Arch」に対応

「All on 4」・「Pro Arch」とは、全ての歯を失った場合や歯が数本しか残っていない場合に抜歯をして行う全顎インプラントです。片顎に4~6本のインプラントを埋入し、人工歯を固定する方法です。
全歯をインプラントにするより安価で済みますが、高度な技術力と多くの治療経験が必要とされています。 ただし、上顎の骨量が大きく不足している場合には、適応が難しいケースもあります。
理由⑦上顎の骨が少ない方にはザイゴマインプラントをご提案

ブリストデンタルクリニック三郷では、上顎の骨量が少なく、オールオン4の適応が難しい方に対して、ザイゴマインプラントをご提案しております。
ザイゴマインプラントは、顎骨ではなく頬骨を利用してインプラントを固定する治療法です。通常は頬骨に固定するインプラントを2本、必要に応じて前方に2〜4本のインプラントを組み合わせて埋入し、片顎全体の歯を支えます。骨造成を行わずに治療できるケースもあり、症例によっては手術当日に仮歯を装着できるため、見た目やお食事の不安を抑えながら治療を進めることが可能です。
他院で難しいといわれた方も、まずは一度ご相談ください。
理由⑧骨量が足りない方には骨造成の併用でインプラントを可能に

歯を失うと、咀嚼時の刺激などが骨に伝わらなくなるため、少しずつ顎の骨が退縮していきます。長期間、歯のない状態が続くと、骨の量が少なくなるため、場合によってはインプラント治療が受けられないというケースもあります。
そのような場合、通常は入れ歯やブリッジなどの他の治療法を検討することになりますが、当院では骨造成法という骨を再生する処置を併用することによって、できる限りインプラント治療が行えるように努めております。骨が少ない場合は、患者さまの症状を見極め、下記の骨造成法の中から適切な処置ご提案いたします。
ソケットリフト(上顎骨に骨が足りない人向け)

上顎の骨の厚みが3~6mmしかない場合に行う骨再生術のことをソケットリフトと呼びます。上顎洞(サイナス)に人工の骨を設置し、サイナス部分の骨の厚みを作ることでインプラント体を埋入することができます。
サイナスリフト(上顎骨に骨が足りない人向け)

上顎の骨の厚みが1~3mmしかない場合に行う骨再生術のことをサイナスリフトと呼びます。厚みを作る骨の面積がソケットリフトよりも多く、難易度が上がり、使用する人工骨も多くなります。
GBR法(骨再生誘導法)

インプラントを埋める部分に骨の再生を促す人工の膜を入れ、骨を再生させる方法です。骨が再生する期間は個人差はありますが、半年弱で、骨再生が完了したら膜を取り除き、インプラントを埋入します。
理由⑨治療に伴うリスク説明の徹底
インプラントは、顎骨に穴を空けて歯の土台になるインプラントを埋め込んでいきますが、骨の状態が悪くなるとインプラントが取れてしまいます。
特に注意したいのが骨を溶かすインプラント周囲炎(インプラントの歯周病)です。インプラント治療後に、毎日のケアやメンテナンスを行わないと、口腔内が不衛生になり、インプラント周囲炎を引き起こしてしまいます。
当院のインプラント治療は、手術をしてそれで終わりというわけではありません。治療後にどのようなメンテナンスが必要かを患者さまに十分理解していただくようにしています。こうしたメンテナンスができないと思われる方は、お断りする場合もございますので予めご了承下さい。
インプラント治療における一般的なリスク・注意点
- インプラント治療は保険適用外となります。
- インプラント治療は医療行為であり、特定商取引法の規制対象外となるため、クーリングオフは適用されません。
- インプラント手術は医療契約に基づくものであり、原則としてキャンセルはお受けいたしかねます。やむを得ない事情により日程の変更を希望される場合には、1週間前までにご連絡いただくようお願いしております。当日・前日・前々日のキャンセルにつきましては、キャンセル料(50,000円(税込)+麻酔医キャンセル料)が発生いたしますので、ご注意ください。
- 骨の成長途中のおよそ18歳未満の方は、インプラント治療はできません。 また、痛み止め、抗生物質等を使用するため、妊娠中の方、妊娠の可能性のある方、授乳中の方は、インプラント治療を控えてください。
- 心臓の疾患、骨粗鬆症などの方は、インプラント治療に適さない場合があります。また普段服薬しているお薬等も治療に影響する場合があるので、治療前に歯科医師に申告してください。
- 免疫力や抵抗力が低下しやすく、歯周病の発生リスクが高いとされる糖尿病の方、口腔内の衛生状態の悪い方、顎の骨が足りない方、喫煙者の方は、事前に生活習慣の改善・治療が必要な場合があります。
- インプラント治療は、顎骨に穴をあけて人工の根を埋め込み、その上に人工の歯を被せます。インプラントが骨に接着するまでに約3~4ヶ月(プレミアムインプラントの場合1ヶ月)の治癒期間を要します。また、骨造成手術を行う場合は、さらに治療期間がかかります。
- 下顎にインプラントを埋入する際に、下歯槽神経の損傷(知覚異常や鈍麻)を起こす場合があります。インプラントによる神経の圧迫・損傷・切断がある場合は、インプラントを撤去します。状況によっては、経過を見る場合や、内服薬で治療を行う場合もあります。
- 上顎にインプラントを埋入する際に、上顎洞を破るリスクがあります。手術した時に感染が生じると蓄膿症になる場合があります。この場合、インプラントを除去することがあります。
- インプラント手術直後は、違和感・痛み・腫れ・出血などが発生する場合がありますが、一時的なもので、多くの場合2~3日でおさまることが多いです。
- インプラント治療後は、定期検診とメインテナンスを継続する必要があります。インプラントは天然歯と同じで日ごろから丁寧なメインテナンスが必要です。また、口の中の衛生状態が悪いと、インプラント周囲炎(インプラントの歯周病)という病気にかかる可能性があります。
インプラント専門Dr.によるセカンドオピニオン
外科治療が必要なインプラントは、患者さまにとって負担のかかる治療です。ですから、十分に納得していただかなければ治療を行うことはありません。
当院では、他院さまで受けられたインプラント治療に関するセカンドオピニオンも受け付けています。もちろん、実績豊富なインプラント専門のドクターが対応します。ぜひ、十分に納得した治療を受けるために活用してください。
インプラント治療の流れ
一般的なインプラント治療の流れについてご紹介いたします。
①術前

術前の状態です。歯の欠損部にインプラントを埋めていきます。
②インプラント埋入オペ

手術は完全に清潔な環境下で行います.一次手術、二次手術を行い、アバットメントを装着した状態です。
③歯肉の回復を待ちます

歯肉の状態が落ち着いたら、被せ物のための型取りをします。
④セラミック歯を装着し完成

セラミックの冠をかぶせて終了です。失った歯が再び戻りました。咬み心地も良好です。
インプラントを生涯お使いいただくために

”インプラントの10年生存率=96.4%”
”インプラントの20年生存率=93%”
という有名な論文がありますが、上記のデータのようにインプラントは正しく管理できていれば長期的に安心してお使いになれます。
【ブリストデンタルクリニック三郷のインプラント生存率は99%の実績】
では、どのような状況でインプラントに悪影響が及んでしまうのかをみなさんはご存知でしょうか?
インプラント埋入後は歯周病(インプラント周囲炎)にご注意を!
せっかく埋入したインプラントを生涯お使いいただくためには、歯周病(インプラント周囲炎)の予防が必須となります。
現在、8020 (80歳で20本歯がある状態)の達成率は令和4年度のデータで51.6%までになってきました。

自分の歯で噛めることは何より良いことなのですが、インプラントとご自身の歯が混在する場合、ご自身の歯のケアができていない状態だと、インプラント周囲も同様に歯茎が腫れたり、インプラント周囲の骨がなくなってしまいます。

(参照:https://www.e-healthnet.mhlw.go.jp/information/teeth/h-04-002.html)
インプラントと天然歯の細菌感染に関する違い

インプラントは天然歯に比べて免疫が低く、細菌感染後の進行が早いという特徴があります。インプラントを良い状態で長期的にお使いいただくためには、定期的に検診を受け、口腔内の状態をチェックしてもらうことが重要です。
インプラントは感染しても気づきにくい
ご自身の歯であれば、炎症により、腫れたりするとお痛みを感じます。
しかし、インプラントはチタンという素材でできた人工歯根です。ご自身の歯とは組織が異なるため、感染しても症状が出にくいのが特徴です。
7年間メンテナンスを受けずにインプラント周囲に炎症が起きた状態
| 年齢・性別 | 60代 男性 |
|---|---|
| 治療期間 | 3ヵ月 |
| 治療費(税込) | 3,120円(保険メンテナンス料金) |
| リスク・注意点 | 一時的に歯肉の炎症が落ち着いたが、清掃状態や定期検診に来れないなどの理由によって再発する可能性がある |
インプラントは初期状態での治療が効果的
▼インプラント粘膜炎と周囲炎の違い

(参照:https://www.club-sunstar-pro.jp/content/dental-information/3119/)
●インプラント周囲粘膜炎
インプラント周囲の腫れや赤みがあるが、インプラントを支える骨の吸収はない。
●インプラント周囲炎
インプラント周囲の腫れや赤みがあり、インプラントを支える骨の吸収も伴う。インプラント体まで感染が波及した状態。
メンテナンスにてインプラント周囲粘膜炎を発見・改善した症例
インプラントのメンテナンスにて、インプラント周囲粘膜炎の初期症状を発見し、改善した症例をご紹介いたします。
現在は良好な状態を維持しております。
| 年齢・性別 | 60代 男性 |
|---|---|
| 治療期間 | 1ヵ月 |
| 治療費(税込) | 11,000円(インプラント専用清掃器具代) |
| リスク・注意点 | インプラント周囲の清掃状態悪化や定期受診されないなどの理由により、再発する可能性がある |
手厚いサポート体制!当院でのインプラントメンテナンス

①インプラント治療前
②被せ物が入った後
被せ物が入った後(仮歯)の際にケア方法をお伝えします。
①インプラントの構造の理解
②適切なケア用品のご紹介
▼プリントや動画にてわかりやすくご説明いたします。

BRISTO DENTAL CLINICで生涯使えるインプラント治療を!

当院で実施したインプラント治療の症例をご紹介
ブリストデンタルクリニック三郷で実際に行ったインプラント治療の症例をご紹介いたします。
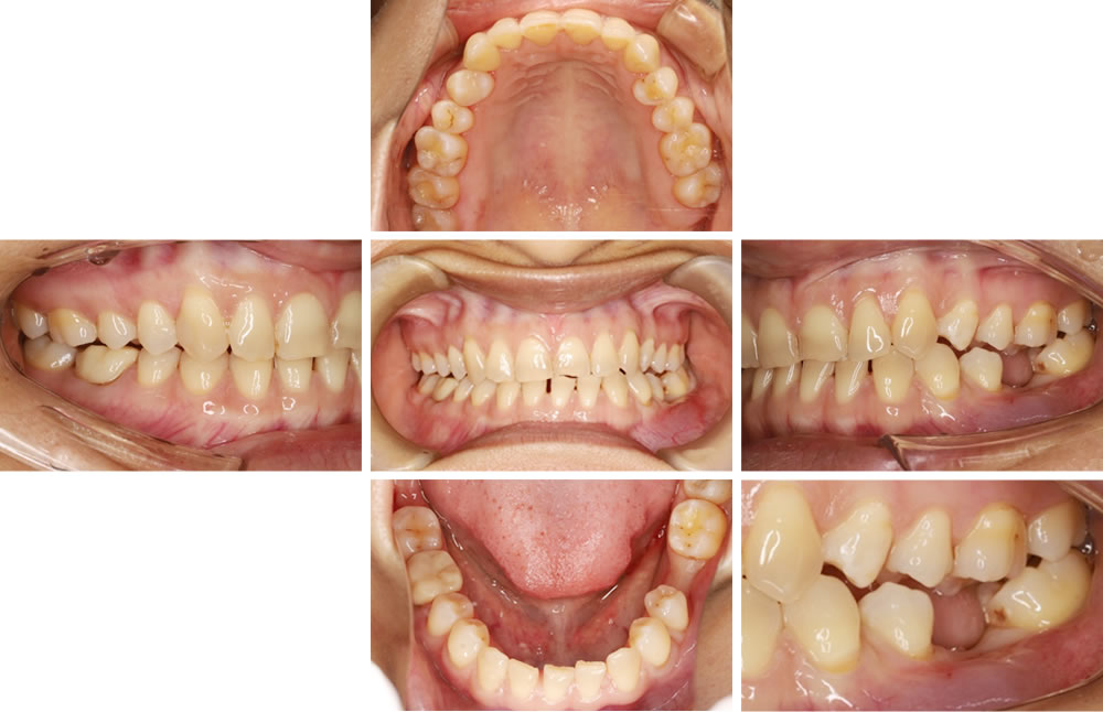
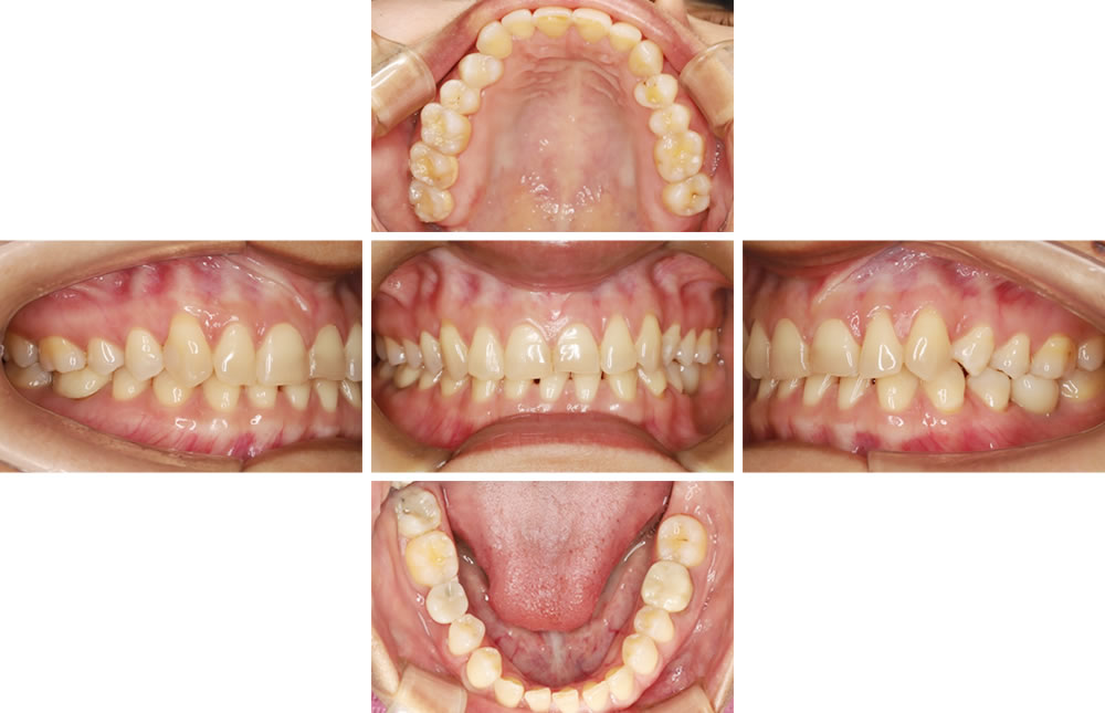
①歯茎切らない・縫わないフラップレスインプラントの症例
過度な筋トレによって歯がガリっと音がし、痛みが出て食事が取れないとのことで当院に来院された40代の患者さまです。
インプラント治療前のレントゲン検査
オペ前のレントゲン画像です。抜歯後の骨の状態は良好で高さ、幅もあるのでインプラントは問題なくできると判断しました。
フラップレスインプラント手術の実施
侵襲を少なくするためにガイドと呼ばれるマウスピースを使用し、歯茎を切開せずにインプラントを埋入する部分のみ、歯茎に穴を開けてインプラントオペを行っております。これにより治療期間を短くすることが可能です。
また、技工士さんと連携しながら計画を立てているので、リスクを最小限に抑えたオペができます。
インプラント埋入完了
オペ後のヒーリングアバットメントと呼ばれる歯茎を綺麗に治す部品を入れた後の写真です。
歯茎の切開を行っていないので出血や痛みも少なくできます。オペ後3~4ヵ月ほど骨にインプラントが固定されるのを待ちます。
インプラント手術前後のレントゲン
インプラント手術前後のレントゲン写真です。しっかりと骨の中にインプラントが埋入されているのがわかります。
上部構造の装着・治療完了
インプラント治療前後の比較
| 年齢・性別 | 40代男性 |
|---|---|
| 治療期間・回数 | 約4ヵ月 4回 |
| 治療費(税込) | プレミアムインプラント 495,000円 ガイド 55,000円 |
| リスク・注意点 | ・歯磨き不足や定期検診に来られなかったりすると、インプラント周囲炎になる可能性があります。 ・長期による経年劣化により、かぶせ物を交換しなければならない場合があります。 |
この症例の担当者のご紹介
②かぶせ物の取れた歯を抜歯後にインプラントで治療した症例
こちらの患者さまは左下6番の歯のかぶせ物が取れたとのことで来院されました。診査・診断の結果、土台の歯を保存不可能と判断しました。患者さまへブリッジ、入れ歯、インプラントによる治療を説明し、相談の結果、当該歯を抜歯後にインプラント治療を行う計画を立てました。
インプラント一次オペの実施
上部構造の装着・治療完了
作成したかぶせ物をインプラントへ装着し、最終的な噛み合わせを調整して治療完了です。
| 年齢・性別 | 40代男性 |
|---|---|
| 治療期間 | 3ヵ月 |
| 治療費(税込) | 440,000円(※治療費等の変更により現在の費用と異なる場合があります) |
| リスク・注意点 | ・日々のケア、定期メンテナンスを怠るとインプラント周囲炎になり、インプラントが脱離する可能性がある。 ・骨量によっては骨を作る処置が必要になったり、治療自体ができない場合があります。 ・糖尿病など、全身状態によっては治療が受けられない場合があります。 |
③他院で抜歯した部分をインプラントで治療した症例
こちらの患者さまは他院でむし歯だったところを抜歯し、インプラント治療ができないと診断されたので当院で診てほしいという主訴で来院されました。患者さまと相談し、入れ歯にはしたくないとのことでしたので、インプラントで噛み合わせを回復する計画を立てました。
パノラマレントゲンにて診断後、インプラント埋入用のステント(インプラントの方向性や埋入深度を決めるためのマウスピース)を作成しました。その後、ステントを口腔内に入れてCTを撮影し、十分な骨の厚みを確認した後に埋入方向を決定しました。
インプラント手術の実施
ステントを使用して計画通りの位置にインプラントを埋入しました。その後、2ヵ月の治癒期間を経て、当該歯の最終的な上部構造(被せ物)の型取り・作成を行いセメントにて仮固定しました。(当院はもしもの状況に備えるため、基本的に仮固定しておりますが普段の生活で脱離してしまうことはほとんどございません。)
インプラント治療前後の比較
審美的・機能的共に改善し、患者さまにも大変ご満足いただけました。現在は3ヵ月のメンテナンスで良好な経過を追っています。
| 年齢・性別 | 30代女性 |
|---|---|
| 治療期間 | 3ヵ月/6回 |
| 治療費(税込) | 440,000円 (※治療費等の変更により現在の費用と異なる場合があります) |
| リスク・注意点 | ・メンテナンスの仕方次第でインプラント周囲炎になる可能性があります。 ・咬合力によってインプラント体が破折する可能性があります。・骨量によっては骨を作る処置が必要になったり、治療自体ができない場合があります。 ・糖尿病など、全身状態によっては治療が受けられない場合があります。 |
この症例の担当者のご紹介
④他院で受けたインプラントを再治療で修正した症例
こちらの患者さまは、他院で埋入したインプラントが痛いとの主訴で来院されました。
患者さまと相談し、当院にてインプラントの再治療を行う計画を立てました。
まずは、問題となっている古いインプラントを丁寧に除去しました。インプラントの除去から半年後、CT撮影を行って骨の状態を確認し、計画通りの位置へ新しいインプラントを埋入。数カ月後、インプラントと顎骨の結合を確認後、かぶせ物を装着して咬み合わせを調整して治療完了となりました。現在は痛みも消え、何でも食べられるとのことです。
| 年齢・性別 | 70代男性 |
|---|---|
| 治療期間 | 約9ヵ月 |
| 治療費(税込) | インプラント495,000円 インプラント除去(他院修正)55,000円 |
| リスク・注意点 | ・日々のケア、定期メンテナンスを怠るとインプラント周囲炎になり、インプラントが脱離する可能性がある。 ・骨量によっては骨を作る処置が必要になったり、治療自体ができない場合があります。 ・糖尿病など、全身状態によっては治療が受けられない場合があります。 |
一般的なケースでのインプラント一本あたりの概算
インプラント治療の費用
※治療費は全て税込となります。治療期間、回数はあくまで目安で症状により変動します。
(目安治療期間:3~12ヶ月 治療回数:3~6回)
| 名称 | イメージ | 特性 | 料金(税込) |
|---|---|---|---|
| インプラント・スタンダード | ![]() |
スタンダードなインプラント治療です。 【10年保証】インプラント体 【3年保証】上部構造 |
462,000円(税込) |
| プレミアム・インプラント | ![]() |
世界シェアNO1のストローマン社の最新のインプラント治療です。 【10年保証】インプラント体 【3年保証】上部構造 |
495,000円(税込) |
| ストローマンプレミアム | ![]() |
最高級のインプラント治療です。 【10年保証】インプラント体 【3年保証】上部構造 |
561,000円(税込) |
| 再手術フィクスチャー代 | ![]() |
再手術時のフィクスチャーの費用です。 | 66,000円(税込) |
▼インプラントオプション
| 名称 | イメージ | 特性 | 料金(税込) |
|---|---|---|---|
| ガイド手術 | ![]() |
より安全性を高めるためにインプラントガイドを作成しオペを行います。 | ガイド(片顎)55,000円(税込) 1本増毎8,800円(税込) |
| 補填材 | ![]() |
インプラント補填材を使用します。 | 55,000円(税込) |
| メンブレン(保護膜) | ![]() |
歯周組織が再生するスペースを確保するための保護膜です。 | 44,000円(税込) |
| 血液検査 | ![]() |
治療前の血液検査です。 | 5,500円(税込) |
| 静脈内鎮静法 | ![]() |
鎮静剤を静脈から流し、全身麻酔を行います。入院する必要もなく当日に帰宅できます。 | 110,000円(税込) |
| プロビジョナル | ![]() |
精度の高い仮歯です。最終補綴物の形態を煮詰めるために製作します。 | 1歯 22,000円(税込) Pro Arch 2nd プロビジョナル 330,000円(税込) |
| 「All on 4」・「Pro Arch」 | ![]() |
無歯顎の場合で使用します。4本のインプラントを使い全歯を固定します。 【10年保証】インプラント体 【上部構造保障】ハイブリッド2年・ジルコニア5年 |
ハイブリッド上部 4,180,000円(税込) ジルコニア上部 4,400,000円(税込) ※インプラント・被せ物を全て含む |
| ザイゴマインプラント | ![]() |
ザイゴマインプラントは、「All on 4」や「Pro Arch」に併用されるインプラント治療です。上顎の骨が不足している場合でも、頬骨に特殊なインプラントを埋入し、上部構造をしっかりと固定します。 ザイゴマインプラントを併用する場合は、「All on 4」・「Pro Arch」の費用に1本につき55万円(税込)が加算されます。 <一例> 上顎にプロアーチ(ハイブリッド上部)・ザイゴマインプラント2本の場合 4,180,000円+550,000円×2本=5,280,000円 【10年保証】インプラント体 【上部構造保障】ハイブリッド2年・ジルコニア5年 |
基本費用 ハイブリッド上部 4,180,000円(税込) ジルコニア上部 4,400,000円(税込) ※インプラント・被せ物を全て含む ザイゴマインプラント 1本 550,000円(税込) ※必要本数に応じて 基本費用に加算 |
| プレミアムセラミックインプラント上部 | ![]() |
上部構造に最高級のジルコニアを使用します。 | 121,000円(税込) |
| 骨造成 | ![]() |
上顎臼歯部で骨の厚みが3~6㎜の場合に行う手術です。上顎洞側に人工骨を移植するための手術です。 | 77,000円(税込) |
| サイナスリフト | ![]() |
上顎臼歯部で骨の厚みが1~3㎜の場合に行う手術です。多量の人工骨を移植する場合に行います。 | 275,000円(税込)/片顎 |
| CGF | ![]() |
患者さまの血液から骨の再生を促進する成長因子フィブリンゲルを生成します。 【リスク・副作用等】 採血による痛みや腫れ、あざ、感染等のリスクがあります。 |
11,000円(税込) |
| 他院インプラント除去 | ![]() |
他院で埋入したインプラントを除去します。 【リスク・副作用等】 感染や炎症、骨の損傷などのリスクがあります。 |
1歯につき 55,000円(税込) |
インプラント手術キャンセルポリシーについて
インプラント手術は医療契約に基づくものであり、術前の準備や術後の滅菌処理に多くの時間と労力を要するため、原則としてキャンセルはお受けいたしかねます。
やむを得ない事情により日程の変更を希望される場合には、1週間前までにご連絡いただくようお願いしております。
手術当日については、約3時間にわたりユニットを患者さまのために確保しているほか、事前の準備に加え、ドクター・アシスタント・麻酔科医のスケジュール調整も行っております。
そのため、当日・前日・前々日のキャンセルにつきましては、キャンセル料を頂戴しております。何卒ご理解のほど、よろしくお願い申し上げます。
【予約日当日、前日、前々日予約変更の場合】
50,000円(税込)+麻酔医キャンセル料をご請求させて頂きます。
三郷でインプラント治療ならブリストデンタル三郷の無料相談へ

ブリストデンタルクリニック三郷では、インプラント治療に関するさまざまな質問にお答えする無料相談(セカンドオピニオン)を実施しております。インプラント治療を受けるときに知っておきたいリスクや、歯を失った場合に選択できる他の治療法に関してもご説明いたします。三郷でインプラント治療をご検討の方はぜひご相談ください。



















































