予防歯科・歯周病
このページの目次
- 1 予防歯科に対するブリストデンタルクリニック三郷の取り組み
- 2 予防に取り組む方と痛い時にだけ治療を受ける方の治療費の比較
- 3 歯を失う1番の原因「歯周病」について
- 4 歯周病の進行状態について
- 5 全身の病気や妊娠にも関係している歯周病
- 6 虫歯や歯周病はメタボリックドミノのはじまり
- 7 こんな方は歯周病のリスクが高くなります
- 8 歯周病の予防・進行防止には早期発見・早期治療が重要です
- 9 ブリストデンタルクリニック三郷の予防・歯周病治療のこだわり
- 10 ブリストデンタルクリニック三郷の予防診療の流れ
- 11 保険診療で実施する2種類のクリーニングについて
- 12 それでも歯石が取りきれない場合
- 13 保険治療での歯周病の治療・回数について
- 14 嘔吐反射のある患者様の歯周治療の症例
- 15 口腔機能の改善により歯肉炎が改善された症例
- 16 歯周病が悪化する要因は細菌だけではありません
- 17 歯の接触癖 (TCH)とは?
- 18 TCH(歯ぎしり・食いしばり)の治療方法
- 19 お子様向けの予防歯科について
- 20 三郷で予防歯科・歯周病治療をご検討の方へ
予防歯科に対するブリストデンタルクリニック三郷の取り組み

虫歯治療では、虫歯菌に侵された部分をどうしても削らなければなりません。全く削らないためには、虫歯にならないための予防が大切です。また、抜歯の原因のほとんどが歯周病といわれていますが、日本人は95.3%の国民が毎日歯磨きをしているのに対して、20歳以上の8割が歯周病に罹患していると言われています。
これらを事前防止に繋げる処置が予防歯科と呼ばれ、定期検診や歯のクリーニングなどを指します。

予防に取り組む方と痛い時にだけ治療を受ける方の治療費の比較


※上記の金額はお口全体の治療費推計です。(出典:日吉歯科診療所調べ)
こちらの画像は、定期的に歯科医院に通院して予防に取り組む方と歯が痛くなったり、何かしらの問題が生じた時にだけ通院する方の80歳までにかかる治療費と歯の寿命を比較したものです。
定期的に通院して予防に取り組むほうが費用がかかりそうなイメージですが、虫歯や歯周病リスクが軽減され、歯を削ったり、歯の修復をしたりという処置がほとんど必要ないため、痛い時だけ通院されている方の方が治療費が多くかかり、さらに歯の寿命も短いことが分かります。
歯の生涯治療費の軽減、そして歯の寿命を延ばすためにも若いうちから予防に取り組むをおすすめいたします。
歯を失う1番の原因「歯周病」について

歯周病とは、細菌の感染によって引き起こされる炎症性疾患です。歯ブラシだけでは歯茎の中のプラーク(歯垢)を除去できないため、ポケットの中に細菌プラークが蓄積し、歯茎に炎症が起こります。
歯周病菌は鉄分(血液)を餌にして活動性を増し、歯の周りの歯茎の腫れに伴い、歯を支える顎の骨が溶けてしまう病気です。(※一度溶けた顎の骨は基本的に元には戻りません)
歯周病細菌検査の処置前と処置後の顕微鏡映像
歯周病の進行状態について

歯周病は進行状態によって大きく「歯肉炎」と「歯周炎」の2つに分類されます。
歯肉炎と歯周炎とは?

歯周炎は、ブラッシング不良によって歯垢や歯石が蓄積し、歯周病菌が繁殖して歯肉のみに炎症が起こっている状態で歯周病の初期段階です。
歯周炎は歯肉炎がさらに進行した状態で、中度~重度の歯周病に分類されます。生体の防御反応により歯肉上皮、歯根膜が剥がれたり、歯槽骨が溶けるなどの症状を伴います。そのまま放置すると歯を支える骨がなくなり、最終的に歯が抜け落ちてしまいます。
※歯周病が重症化し、症状が進行した時には手遅れで歯を温存することが難しくなる場合もあります。
そのため、セルフケアのみでは健康な歯を維持するのは難しいのが現状です。
全身の病気や妊娠にも関係している歯周病

歯周病は、お口の問題だけではありません。身体の別の場所で起こる病気を進行させたり、妊娠にも悪影響を与えたりすることが指摘されています。
例えば、歯周病菌が血液によって身体の中に流れていくと、心筋梗塞や動脈硬化、脳卒中のリスクを高める可能性があります。また、早産や低体重児といった妊娠トラブルを引き起こす場合もあります。
歯周病と全身疾患との関連
歯周病菌の刺激で破壊された歯肉から歯周病菌が歯周組織へ拡がり、さらに血管へと侵入して全身にまき散らされる。
歯周病菌や毒素の刺激に反応して炎症性サイトカインが放出され、さらに血管内へ移行し、全身で炎症を起こす。
口腔内で増殖した歯周病菌を日常的に飲み込み続けることで腸内細菌叢のバランスが乱れ、様々な問題を引き起こします。
虫歯や歯周病はメタボリックドミノのはじまり

メタボリックドミノとは、虫歯や歯周病などをはじめとした生活習慣病が発端となり、様々な病気がドミノ倒しのように一気に進行する状態を意味します。
症状が悪化して様々な疾患が併発してしまうと、命の危険はもちろん、年間500万円ほどの医療費がかかると言われています。虫歯や歯周病も歯やお口だけの問題と考えず、きちんと予防・治療することが重要です。
こんな方は歯周病のリスクが高くなります

- 糖尿病
- 喫煙
- 歯ぎしり、くいしばり、かみしめ
- 不適合な冠や義歯
- 不規則な食習慣
- ストレス全身疾患(糖尿病、骨粗鬆症、ホルモン異常)
- 薬の長期服用
- 部分的に歯がない(歯がある方で噛むため負担が増加し、歯周病を部分的に進行する)
- 両親が若い時から入れ歯だった
- 口で呼吸することが多い
- 免疫抑制剤を飲んでいる、あるいは免疫低下の状態
上記の項目に一つでも当てはまる場合は、歯周病に罹患する可能性が高まります。
そこでブリストデンタルクリニック三郷では 患者さまひとりひとりに合った歯周病治療を担当制でご提供いたします。
歯周病の予防・進行防止には早期発見・早期治療が重要です

虫歯は初期でも痛みが出るので比較的気付きやすいですが、歯周病は症状が出ず、静かに病状が進行するので、気づいたときには手遅れになる場合もあります。そのため、歯周病を進行・悪化させないためには予防診療、早期発見・早期治療に取り組むことが重要です。
ブリストデンタルクリニック三郷の予防・歯周病治療のこだわり
当院の予防歯科・歯周病治療に対する4つのこだわりをご紹介します。
パーフェクトペリオ治療・POIC水(歯周病機能水)
日本人の80%が羅患していると言われる歯周病。歯周病治療は細菌感染が原因であるがために完治しづらいのが特徴です。
この治癒確率を大幅に上げる治療がこのパーフェクトペリオとPOIC水(2,200円/税込)です。
パーフェクトペリオとPOIC水は、特殊な洗浄、殺菌水で、治療時やご自宅でうがい時に使用していただくことで歯と歯茎の間の歯周ポケットの汚れを効果的に殺菌・除去することができます。
歯周病治療の世界では比較的新しいもので、パーフェクトペリオとPOIC水による歯周病治療が受診できる歯科医院は少ないです。
歯周外科治療にも対応
歯周病がかなり進行していると、歯茎に隠れた深い部分に歯石が進行し、歯を支える骨を溶かし始めています。
この状態は重度歯周病の状態で、長く放置していると、骨がなくなり歯を支えきれなくなって抜け落ちてしまいます。
このような重度の歯周病の場合には、歯茎を切開して歯周ポケットの奥に付着した歯石を除去したり、溶けた骨を再生する治療を実施いたします。治療期間も長くなるため、重症化する前に治療を始めることが大切です。
唾液による歯周病菌検査を行なっています
患者さまの唾液を採取し、その唾液の中に潜む歯周病菌や虫歯菌の数や種類を調べることができます。
この検査結果により、どの程度の歯周病にかかっており、これから治療していく上でこれがどのように改善していくのかが数値でわかるようになりますので、より確かな治療計画の立案、進行にも役立ちます。
2種類のスケーラーを使い分ける
歯周病の原因は、歯の表面に付着した歯垢や歯石です。この汚れを取り除く歯のクリーニングを行うために、歯科医院ではスケーラーという道具を使います。
スケーラーには「超音波スケーラー」と「ハンドスケーラー」があり、当院ではそれぞれの特徴を活かし、要所要所で使い分けています。
超音波スケーラー

超音波の力を使った電動のスケーラーです。歯の広範囲に付着した歯垢や歯石を短時間で取り除くことができます。
ハンドスケーラー

その名の通り、手動のスケーラーです。歯の汚れを1本1本ていねいに落としていきます。時間はかかりますが、細かい部分の歯垢や歯石もきれいに落とすことができます。
炭酸ガスレーザーによる低侵襲な歯周病治療
ブリストデンタルクリニック三郷では、様々な治療に使用できる炭酸ガスレーザーを完備しており、必要に応じて歯周病治療などに活用しています。
殺菌効果の高い炭酸ガスレーザーは、歯周ポケット内に照射することで細菌の数を減らすことができるため、歯茎の炎症が抑えられ、歯周病を効率的に改善することができます。
さらに、痛みもほとんどなく、止血効果や治癒促進効果もあるため、歯茎の切開などの外科処置の際にも活躍します。
ブリストデンタルクリニック三郷の予防診療の流れ

ブリストデンタルクリニック三郷の予防診療の流れについてご紹介いたします。
虫歯や歯周病には必ず原因があり、その原因を払拭しなければ口腔トラブルは再発します。そのため当院では、口腔衛生状態により、歯周病治療後に虫歯の治療をする場合もあります。
初診時1回目:60分
問診・口腔内チェック・レントゲン写真撮影・口腔内写真撮影・歯磨き指導歯周病ポケット検査1回目(初診時は、レントゲン・歯周ポケット検査をもとに、全身の状態・お口の中の状態をヒアリングさせていただき、治療計画を立てるお時間となります。)
※歯周病の状態により、当日のクリーニングができない場合もございますので予め、ご了承ください。
2回目:40分
歯周病基本治療・超音波スケーラーにて歯石除去・歯磨き指導
※顕微鏡検査と唾液検査はオプションとなります。
3回目:40分〜60分
歯周病ポケット検査2回目・精密治療開始
歯周病ポケット検査2回目の状態により、さらに歯周病治療が必要な患者さまは引き続き歯周病治療を行います。
3回目以降:40分〜60分
保険治療ご希望の場合は、歯周病の状態により、1〜6回に分けて歯茎の中の歯石取り行います。
歯石除去後:40分〜60分
歯茎がどれくらい良くなったか歯周病ポケット検査をして確認します。メンテナンスに移行するか外科的な処置に進むか診断を行います。また、今後の虫歯やかぶせ物などの治療計画を立てます。
メンテナンスへ移行
病状の安定を確認してから1〜3ヵ月のメンテナンスに移行します。
保険診療で実施する2種類のクリーニングについて
虫歯や歯周病の予防をはじめ、症状を悪化させないためにはお口の中を清潔にしておくことが重要です。以下では保険治療で実施する「スケーリング」「SRP (スケーリングルートプレーニング)」についてご紹介いたします。
スケーリング
スケーリングとは、歯茎の上に付いた歯ブラシで取れなくなった歯垢(プラーク)や歯石を機械的に除去する処置です。
なぜスケーリングが必要なのか
皆さんは歯の汚れの染め出しを行ったことはありますか?
パっと見だと歯と同じような色をしているので、なかなか気づきにくいのですが、歯の面を舌で触ってみてください。ヌルヌルするところはありませんか?もし触ってヌルヌルする所があれば、プラーク(歯垢)がついているかもしれません。
こちらの画像はプラーク歯垢を染色した様子です。
青い部分は3日以上歯面に付着した汚れの可能性があり、赤い部分より虫歯や歯周病になりやすい状況です。
当院では、歯垢染色液を使用しクリーニングを行うことがありますが、全く赤く染まらない人はごく稀で、ほとんどの方が一生懸命磨いても多少の磨き残しがあります。
この写真のように歯面にプラークが付着している状態だと、歯肉が腫れている場合が多いため、術中の痛みをなるべく軽減するため、まずは取れなくなってしまった汚れを除去して、セルフケアができる状態を作ることが重要です。

このプラークは強固なものだと、研磨剤をつけてブラシで擦っても落ちない場合があります。その際には、超音波スケーラーと呼ばれる毎秒25,000回振動する機械を使用し、プラークや歯石・バイオフィルムなどを破壊します。
また、当院ではポイックという殺菌効果の高い消毒液を使用し、プラークをより破壊しやすく、かつ、ウイルスや細菌を殺菌しながらのクリーニングも行っております。
こちらを使用することで口の中やポケット内の細菌叢が変化し、歯周病の状態がコントロールしやすくなります。歯周病でお困りの方は是非スタッフまでお声がけください。
SRP (スケーリングルートプレーニング)
SRP (スケーリングルートプレーニング)とは、スケーリングでは取りきれない歯石などを特殊な形の器具を用いて除去する処置です。
簡単に表現すると歯周病の進行を制御、歯周組織の健康を改善するための歯茎の中の歯石取りです。
なぜ歯茎の中の歯石取りが必要なのか?
歯周病の原因となる菌は酸素が嫌いで、血液などの鉄分を好む傾向にあります。そのため、深い歯周ポケット、かつ、出血傾向のポケット内で活動性を高め、結果的に無自覚無症状で知らぬ間に歯を支える骨がなくなっていくのが歯周病の恐ろしいところです。
▼歯周病の進行の様子

歯周ポケット内に歯石があると、歯石自体の表面がザラザラしていることで表面に細菌が住みやすくなり、細菌の出す毒素が歯の根に浸透して、どんどん顎の骨が溶けてしまいます。

そのため必要に応じて麻酔を使用し、歯と歯茎の隙間から器具を挿入し、感染した歯根の表面や歯石を除去して感染源を取り除く必要があります。このように歯石や感染物を除去すると歯周病の病状安定につながります。
それでも歯石が取りきれない場合
歯石取りをしたのに取りきれないってどういうこと?と思った方もいらっしゃるかと思います。
ですが、歯石取りを行っても歯根の形や歯周ポケットの深さによっては、歯と歯茎の境目から器具を入れて取る方法だと取りきれない場合があります。
そんな時は外科的に歯石を取ったり、自費治療にはなりますが、骨を再生しやすくするための手術をしたりすることも可能です。
保険治療での歯周病の治療・回数について

当院で実施する保険治療での歯周病の治療・回数についてご紹介いたします。
初診時 約5,000円(保険適用3割負担の場合)
- 口腔内写真撮影:術前術後の口の中を写真で記録します。
- レントゲン撮影:顎の骨の吸収具合・歯石の沈着状況・むし歯などを確認します。
- 歯周(ポケット)検査:歯の揺れや、1つの歯に対して6点に分けて歯周ポケットを測定し、歯周病の状態・炎症度合いを検査します。
- 現在の状態・歯周病の説明:現状を把握した上で、歯科医師・歯科衛生士と共に治療計画を立案します。
- TBI(セルフコントロールの確認):どんなに歯石が上手く取れても日頃のケアの仕方が正しくできていなければ、病気は治らず悪化してしまいます。治療中に新たなむし歯や歯周病の進行により歯の保存が難しくなると治療回数・治療費が新たにかかることがありますので、遠回りに感じますが一番重要な治療です。
歯周(ポケット)検査+歯石取り 約3,000円(保険適用3割負担の場合)
歯周(ポケット)検査を行った後、歯石と取り除きます。
(必要に応じて)麻酔下での歯茎の中の歯石取り 約2,000円(保険適用3割負担の場合)
必要に応じて麻酔を行った後に歯茎の中に蓄積した歯石を取り除きます。
約4〜6回※回数は、歯石量・病状に応じて異なります。
※処置する歯数によって費用の変動があります。
歯石除去を行なった後の再評価
歯石除去を行なった後の再評価(歯周ポケット検査)を実施、ここでメンテナンスに移行するかを判断します。
メンテナンスに移行 約3,000円〜4,000円(保険適用3割負担の場合)
病状の安定を確認できたらメンテナンスに移行します。
※歯周病の状態により検査方法が変化すると費用が変動することがあります。
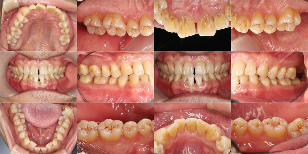
嘔吐反射のある患者様の歯周治療の症例
嘔吐反射のある患者様の歯周治療の症例をご紹介します。
初診時のレントゲン画像
こちらの患者さまは、嘔吐反射が激しく歯周病の治療を中断してしまったため、病状が悪化していないか診てほしいとの主訴で来院されました。
初診時の口腔内写真
初診時の歯周病検査の結果
嘔吐反射で奥歯が磨きにくいとのことで奥歯を中心に歯周ポケットが深く、歯肉からの出血も見られました。患者さまと相談し、同意の下で歯周治療を開始しました。
治療の経過
左上1番奥の歯は患者さまが違和感を感じるとのことで審査しました。かぶせ物を外してみると、かぶせ物の土台の内部で広範囲の虫歯があり、さらに亀裂が確認できたため、保存が難しいことをお伝えし、同意の下で抜歯を行いました。
歯茎の中の歯石除去後の評価
歯周ポケットの状態は良好です。歯茎からの出血も落ち着きましたが、やはり、奥歯は嘔吐反射で磨けないとのことでワンタフトブラシにて再度ブラッシングの確認を行い、3ヵ月ごとのメンテナンスに移行しました。
ホワイトニングの実施
患者さまのモチベーションが上がり、ホワイトニングを2回施術しました。
治療前後の比較
メンテナンス時の口腔内
ワンタフトブラシを活用し、だんだんと奥歯も磨けるようになっています。
メンテナンス時の検査結果
直近のメンテナンス時の精密検査の結果です。良好な経過を辿っています。
| 年齢・性別 | 50代男性 |
|---|---|
| 治療期間・回数 | 1年 6回 |
| 治療費(税込) | 歯周治療 約20,000円(保険治療 3割負担) ホワイトニング 1回22,000円×2 |
| リスク・注意点 | 歯周病は後戻りしやすい病気です。継続的なセルフケアとメンテナンスをお勧めします。 |
この症例の担当者のご紹介
口腔機能の改善により歯肉炎が改善された症例
口腔機能の改善により歯肉炎が改善された症例をご紹介いたします。
初診時の状態
こちらの患者さまは、歯石除去を主訴に来院されました。歯科受診は1年ぶりとのことでした。
口唇より出血が見られ、子供の頃からリップを都度塗っているが治ったことがない。皮膚科にも受診したが改善しない。口唇は意識をしないとうまく閉じられない状態でした。歯面には歯垢の付着が見られ、右下には口内炎もできやすいとのことでした。
初診時の歯垢染色の様子
前歯はいつも出血して痛いので歯ブラシを当てられない。慢性のアレルギー性鼻炎でほとんど口で呼吸するため、いつも口が乾いているとのことでした。歯面には3日以上蓄積した歯垢が厚く付着していました。
口呼吸の弊害
【歯や口に関する弊害】
- 虫歯や歯周病、口臭のリスクが高まる
- 歯並びが悪くなるリスクがある
- 顎関節症のリスクが高まる
【顔に関する弊害】
- 面長な顔になるリスクがある
- ほうれい線や口元のたるみのリスクがある
- 二重顎の原因になる
- フェイスラインがぼやけた印象になりがち
【全身に関する弊害】
- 風邪やインフルエンザなどの感染症にかかりやすくなる
- アレルギー性鼻炎やアトピー性皮膚炎、気管支喘息などのリスクが高まる
- 睡眠時無呼吸症候群のリスクが高まる
- 脳梗塞、狭心症、心筋梗塞、糖尿病の悪化、早産や低体重児出産を引き起こすリスクがある
- 誤嚥性肺炎の原因にもなる
指導したポイント
- 3週間はOP-10 (当院で一番柔らかいブラシ)にて磨いてもらうこと
- 毛が柔らかいため1つの箇所を時間をかけて磨いてもらうこと
- SPTに洗口液を使用し、洗口と共に歯肉をマッサージするように磨いてもらうこと
- あいうべ体操は1日30回続けてもらう
歯磨きの際に洗口液「Systema SP-Tメディカルガーグル」を使用していただきました。
介入2回目
あいうべ体操は1日30回を3セット、自ら率先して行っていただけたことで介入2回目にして、口唇の筋力向上、口が閉じやすくなり口唇の荒れも改善している様子が確認できました。
初診時からの変化
口唇閉鎖に伴い、歯肉炎の状態が少しづつ改善している様子も見受けられます。口呼吸の改善により、鼻炎も以前よりも軽減しております。定期的なメンテナンスと共に経過を見守っていきたいと思います。
| 年齢・性別 | 17歳(初診時) 男性 |
|---|---|
| 治療期間/回数 | 1年 6回 |
| 治療費(税込) | 市の負担で0円 |
| リスク・注意点 | ・後戻り防止のため、口腔周囲のトレーニングの継続と定期的なメンテナンスをお勧めします。 |
この症例の担当者のご紹介
歯周病が悪化する要因は細菌だけではありません

歯周病が悪化する要因は細菌だけではありません。下記の症状に当てはまる場合は、歯の接触癖 (TCH)が影響しているかもしれません。
- 頭痛
- 肩こり
- 歯の破折
- 歯周病の悪化
- 大顔
- 知覚過敏
- 耳鳴り
- めまい
歯の接触癖 (TCH)とは?

歯の接触癖 (TCH)とは、Tooth Contacting Habit(歯列接触癖)の略称で、歯ぎしりや食いしばりなどのように持続的に上下の歯を接触するような癖を意味します。
本来、1日に歯と歯が接触している時間は1日平均15〜20分と言われています。 上下の歯は無意識下では接触していませんが、就寝中などに歯ぎしりや食いしばりなどをする方は歯周組織に負担がかかるため、歯周病を悪化させてしまう可能性があります。
歯ぎしり・食いしばりの種類
歯ぎしり・食いしばりの種類は大きく分けて下記の3つがあります。
クレンチング

上下の歯を強く噛みしめる状態。
タッピング

上下の歯をカチカチと接触させる状態。
グラインディング

上下の歯をギリギリと擦り合わせる状態。
TCH(歯ぎしり・食いしばり)の癖がある人の口腔内
お口の中に骨が盛り上がったところはありませんか?
病的なものではありませんが、このまま噛み締めの習慣が継続すると歯が割れてしまうかもしれません。
TCH(歯ぎしり・食いしばり)の治療方法
マウスピース(ナイトガード)

就寝中にマウスピース(ナイトガード)を装着することによって、歯ぎしりや食いしばりによる歯周組織への負担を軽減します。
お子様向けの予防歯科について

お子様のお口を虫歯から守りませんか?
ブリストデンタルクリニック三郷では、お子様の定期検診の際に磨き残しの染め出して歯磨き指導を行います。 スタッフ全員が拡大鏡を使用し、初期の虫歯もチェックします。
当日、虫歯がなければ有料で1,100円で歯質を強化し、虫歯になりにくくする高濃度のフッ素塗布も可能です。
※詳しくはスタッフにお尋ねください。
年齢ごとに磨き方をご提案
成長に合わせて虫歯の好発部位は変化します。
口腔内の状態に合わせて口腔衛生指導・食生活指導を行います。
お子様向けの予防グッズも販売しています
Check-Up gel

ブクブクができないお子様向けのフッ素配合の歯磨き粉です。
バナナ:3歳未満 グレープ/ピーチ:6歳以上
フッ素洗口液

むし歯になりやすい方におすすめのフッ素洗口液です。歯磨きした後に原液でゆすぎましょう!
※その後、水でゆすがないように注意しましょう。
三郷で予防歯科・歯周病治療をご検討の方へ

ブリストデンタルクリニック三郷では、歯を失う原因である歯周病に対し、徹底的なこだわりをもって治療にあたっています。上記のように、一般的な歯科医院では行なっていないパーフェクトペリオをはじめ、歯周外科やルートプレーニングなども行なっており、歯周病治療のセカンドオピニオンも多数実績があります。三郷で歯周病治療をご検討の方は、ぜひブリストデンタルクリニック三郷へご相談ください。




























