成人矯正(出っ歯・上顎前突)の症例一覧
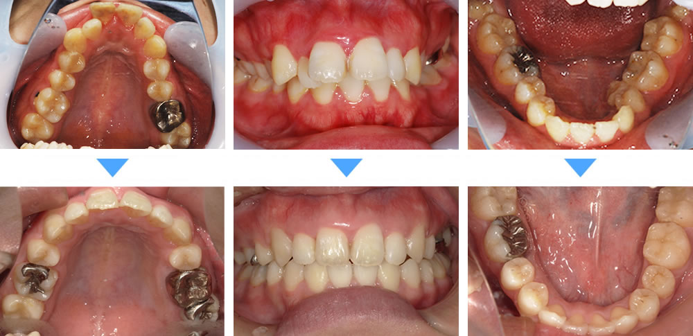
矯正症例⑭(上顎前突)

上顎前突の治療例(術前・術後)と解説 年齢・性別 20代女性 治療期間 2年9ヵ月 抜歯 あり(上顎左右第一小臼歯、下顎左右第二小臼歯) 治療費(税込) 880,000円 備考 ブラケット矯正 リスク・注意点 ・治療後の […]
矯正症例⑧(上顎前突)

上顎前突の治療例(術前・術後)と解説 年齢・性別 20代女性 治療期間 4年4ヵ月 抜歯 あり 治療費(税込) 990,000円 備考 ブラケット矯正(抜歯治癒期間含む) リスク・注意点 ・治療後の保定装置の装着を使用し […]



