歯茎のライン・見た目が気になる前歯を審美修復した症例
歯茎のライン・見た目が気になる前歯を審美修復した症例
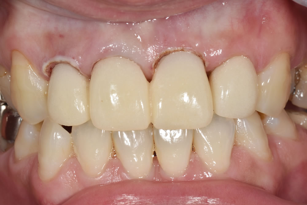
こちらの患者さまは、前歯の見た目を改善したいとの主訴で来院されました。
初診時の口腔内
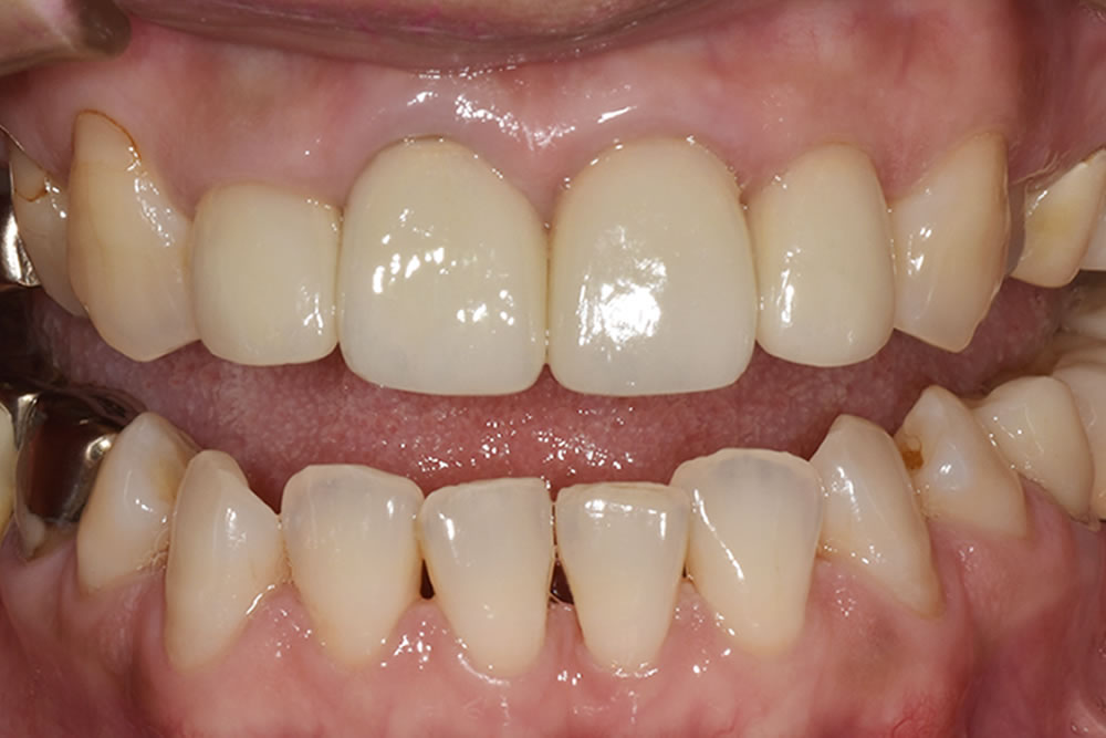
歯茎の高さのラインをみるとバラバラになっていました。このままの状態で新しいかぶせ物を装着しても審美的に仕上がらないので、患者さまと相談し、ジルコニアクラウンの作製と歯茎の整形を同時に行う計画を立てました。
| 年齢・性別 | 50代女性 |
|---|---|
| 治療期間・回数 | 2ヵ月 5回 |
| 治療費(税込) | ジルコニアクラウン 440,000円(110,000円×4本) 歯肉整形 36,000円 |
| リスク・注意点 | ・歯茎の整形を行なったので、稀に痛みや腫れが生じる事があります。 ・部分的に過剰な力がかかると、欠けたり、外れたりすることがあります。 |












