成人矯正(叢生)の症例一覧
矯正症例⑬(叢生)

叢生の治療例(術前・術後)と解説 年齢・性別 10代男性 治療期間 2年8ヵ月 抜歯 あり(右上第一小臼歯、左上第一大臼歯、下顎左右第一大臼歯) 治療費(税込) 880,000円 備考 ブラケット矯正 リスク・注意点 ・ […]
矯正症例③(叢生)

叢生の治療例(術前・術後)と解説 年齢・性別 10代女性 治療期間 1年11ヵ月 抜歯 有り 治療費(税込) 990,000円 備考 ブラケット矯正 リスク・注意点 ・治療後の保定装置の装着を使用しないと、後戻りしてしま […]
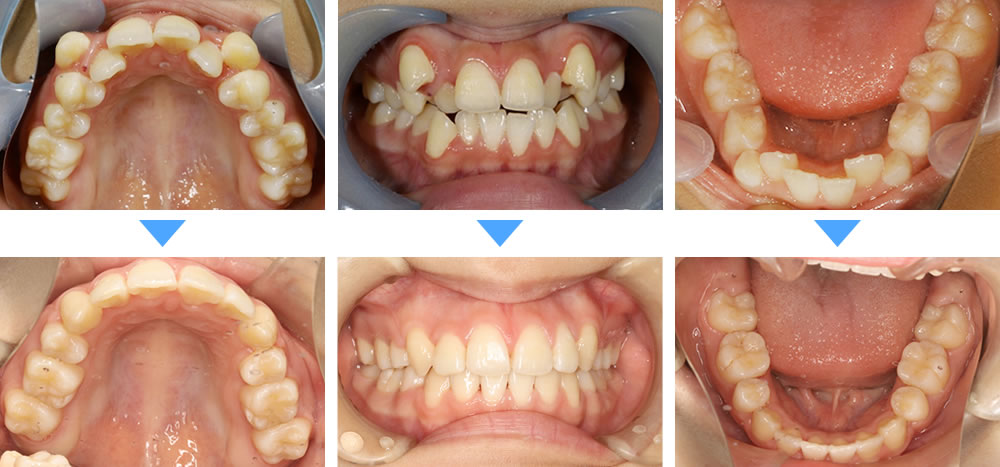
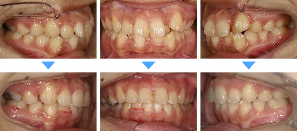
矯正症例①(叢生)

叢生の治療例(術前・術後)と解説 年齢・性別 20代女性 治療期間 2年7ヵ月 抜歯 無し 治療費(税込) 990,000円 備考 ブラケット矯正 リスク・注意点 ・治療後の保定装置の装着を使用しないと、後戻りしてしまう […]



