ホワイトニング
このページの目次
患者さま一人ひとりに適したホワイトニングをご提案します

白い歯は健康的で若々しい印象を与えます。ホワイトニングは歯を削ることなく、薬剤の作用によって歯の黄ばみや着色を改善することができるため、幅広い年代の方におすすめです。歯を白くするために行うホワイトニングには、さまざまな方法があります。
マウスピースを歯科医院で作成し、自宅で施術を行う「ホームホワイトニング」、歯科医院ですべての施術を完結させる「オフィスホワイトニング」、両方を同時に行う「デュアルホワイトニング」。また、歯茎をきれいな色にしてくれる「ガムピーリング」もあります。当院では、患者さまに適した方法をご提案いたします。
ご自宅等で患者さまご自身で行うホームホワイトニング
患者さまが、ご自宅や都合の良い場所で好きな時間にホワイトニングを行うという方法です。
しかし、初回は歯科医院にて検査を受けていただかなくてはなりません。ホワイトニングで使う薬剤は、虫歯や歯周病を悪化させることがあります。お口の中の健康状態を診させていただきます。
お好きな時間にホワイトニングを行いたい人に適した方法
ホームホワイトニングは、好きな時間にどこでも施術が行えるというのが最大のメリットです。
最初は検査とマウスピースの作成で歯科医院に通っていただかなくてはなりませんが、その後は、いつでもどこでもホワイトニングが可能です。
忙しい方におすすめしたい方法ですが、オフィスホワイトニングと比べると、歯が白くなる度合いは少し低いです。
歯科医院で行うオフィスホワイトニング
ホワイトニングに関することをすべて、歯科医院で終わらせてしまうという方法が、オフィスホワイトニングです。歯科医院に数回通っていただく必要がありますが、それ以外に特に行わなければならないことはありません。
早く歯を白くしたい人に適した方法
オフィスホワイトニングは、ホワイトニング剤を歯に塗り、特殊な光を照射することによって効率良く歯を漂白します。
ホームホワイトニングよりも白くなる度合いが高く、効果も早く感じやすいのが特徴です。
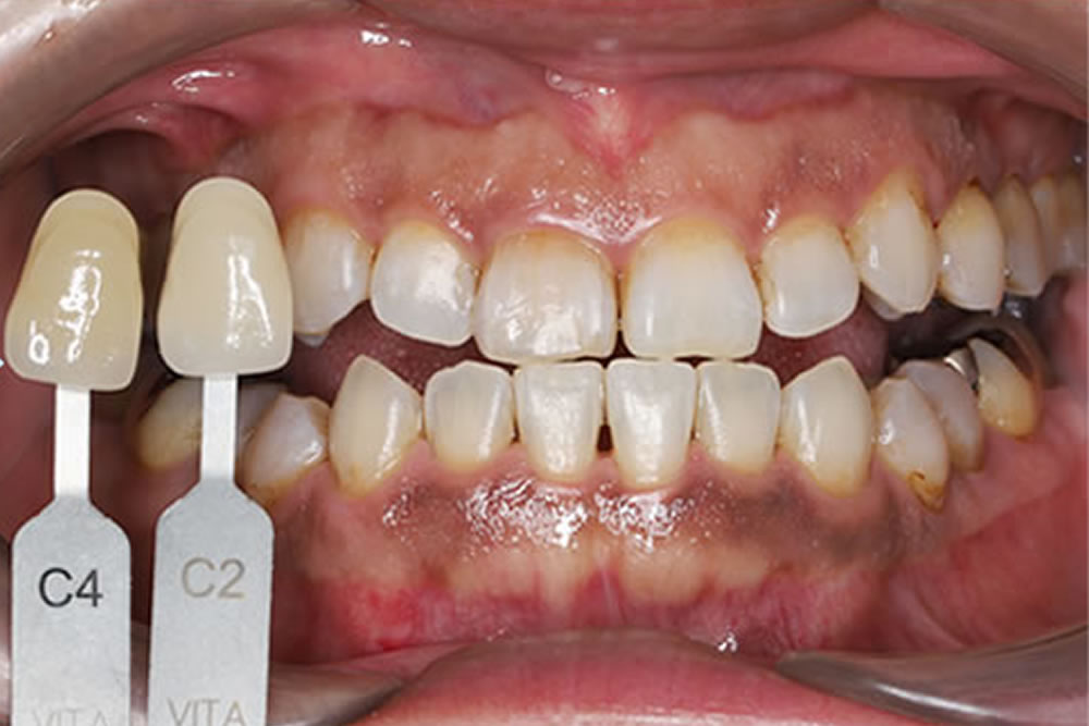
オフィスホワイトニングで歯の色を白く改善した症例
| 年齢・性別 | 20代 女性 |
|---|---|
| 治療期間 | 1日 |
| 治療回数 | 1回 |
| 治療費 | オフィスホワイトニング 22,000円(税込) |
| リスク・注意点 | ・ホワイトニングは、詰め物や被せ物などには効果がありません。 ・施術中に痛みを感じたり、一時的に知覚過敏になる場合があります。 ・ホワイトニングの効果には個人差があります。2回程度される方が多いです。 ・色の濃い物をよく食べたり飲まれたりする方は定期的なホワイトニングをお勧めします。など |
オフィスホワイトニングとエアフローで着色・黄ばみを改善した症例
| 年齢・性別 | 40代 男性 |
|---|---|
| 治療期間 | 1日 |
| 治療回数 | 1回 |
| 治療費 | エアフロー 5,500円(税込) オフィスホワイトニング 22,000円(税込) 治療費合計 27,500円(税込) |
| リスク・注意点 | ・ホワイトニングは、詰め物や被せ物などには効果がありません。 ・施術中に痛みを感じたり、一時的に知覚過敏になる場合があります。など |
オフィス・ホームを併用するデュアルホワイトニング
デュアルという名の通り、ホームホワイトニングとオフィスホワイトニングを並行して行います。歯の白さを早く実感でき、白さが長続きするというメリットがあります。
最短で最も白くなるホワイトニング(ウェディングホワイトニング)
ホームホワイトニングは、白くなるまでに時間がかかるものの効果が長続きするというメリットがあります。オフィスホワイトニングは、短時間で白くすることができ、白さの度合いも高いです。
この2つの方法のメリットを同時に得られるのがデュアルホワイトニングです。
特に、結婚式前のブライダルホワイトニングとして利用されることが多く、白くしたいけど時間がない!という方に向いています。
ホワイトニング治療の流れを動画で解説
神経のない歯の黒ずみを改善するインターナルブリーチ

神経を取り除いた歯や神経が死んだ歯は失活歯と呼ばれ、時間の経過とともに歯の内部から黒ずんでいきます。失活歯の黒ずみは通常のホワイトニングでは効果がないため、インターナルブリーチという方法で歯の色を改善します。
インターナルブリーチは、まず歯の裏側に穴を開け、そこから漂白剤を入れて仮の蓋をし、歯を内側から白くしていきます。1~2週間を目安に漂白剤を交換しながら、理想の色味まで漂白します。
歯の神経が死んで黒くなった歯をインターナルブリーチで白くした症例
| 年齢・性別 | 20代 女性 |
|---|---|
| 治療期間 | 2週間 |
| 治療回数 | 2回 |
| 治療費 | インターナルブリーチ 22,000円×2回 44,000円(税込) |
| リスク・注意点 | ・セラミックで被せれば変色はありませんが、インターナルブリーチは着色してくる可能性があります。 |
歯茎の色を改善するガムピーリング
ガムピーリングは、歯茎の表面に付着している汚れを古くなった歯茎の組織ごと取り除いて新しい皮膚の再生を促すホワイトニング法です。
汚れてしまった歯茎をきれいなピンク色に改善
歯茎は、食べ物・たばこ・薬などの口に入れるものによって刺激を受けています。その刺激が積み重なることで変色してしまうのです。
そんな汚れを、古い皮膚ごとピーリング剤を使って落としていきます。施術中は少しヒリヒリとする場合がありますが、強い痛みを感じることはありません。
歯茎の着色をガムブリーチで改善した症例
| 年齢・性別 | 30代 女性 |
|---|---|
| 治療期間 | 1ヵ月半 |
| 治療回数 | 3回 |
| 治療費 | ガムブリーチ 5,500円×2(全顎分)×2回=22,000円(税込) |
| リスク・注意点 | ・術後しみたり少し痛みが出る事があります。 |
ホワイトニングに関するQ&A
歯はどれくらい白くできますか?

白くなる度合いには個人差があります。一般的なケースでは、1回の施術で4段階くらい白くなります。しかし、歯が黒ずんだグレーになっている場合は、ホワイトニングの効果を期待できないのでご注意ください。
白い状態はどれくらい続きますか?
食生活によっても異なりますが、半年程度白さが続きます。白さをできるだけ持続させる方法としては、ホームホワイトニングをメンテナンスとして受けるという方法があります。また、着色しやすい食べ物、例えばカレー・コーヒー・ワインなどを避け、虫歯予防を意識することも大切です。
ホワイトニングを受けるにあたって注意することはありますか?
個人差もありますが、薬剤の効果で施術中や施術後に多少の痛みや歯がしみたりする場合がございます。歯が欠けていたり、虫歯・歯周病などの疾患がある場合には、痛みが強く出たり、症状が悪化する場合がございますので、治療を優先致します。
また、妊娠中(授乳中)の方、薬剤の成分にアレルギーのある方、無カタラーゼ症の方などはホワイトニング治療を受けることが出来ません。歯のクリーニング、つめ物・被せもの治療等をおすすめ致します。
各種ホワイトニングの料金
※治療費は全て税込となります。
治療期間、回数はあくまで目安で症状により変動します。
(目安治療期間:1ヶ月 治療回数:1~3回)
| 名称 | イメージ | 特性 | 料金(税込) |
|---|---|---|---|
| ホームホワイトニング | ![]() |
自宅で行うホワイトニングです。安全なホワイトニング剤をマウストレーに注入し、夜間装着してホワイトニングを行います。歯科医院より薄い薬液を使用するため効果はゆっくりと表れますが、白さが定着するため後戻りしにくいです。 | 2週間分 33,000円(税込) 追加ジェル1本 3,300円(税込) トレー作り直し(片顎) 11,000円(税込) |
| オフィスホワイトニング | ![]() |
歯科医院で行うホワイトニングです。高濃度の薬液を使用し、レーザーなどを当てて効果を高めます。短期間で歯の色を白く出来ますが、色の戻りも短期間で戻ってしまう場合があります。 | 1回 22,000円(税込) |
| デュアルホワイトニング | ![]() |
ホームホワイトニングとオフィスホワイトニングを併用します。おもに、結婚式用のブライダルホワイトニングとして使用されます。 (ホーム2週間分、オフィス2回) |
66,000円(税込) |
| インターナルブリーチ | ![]() |
歯を内部から漂白します。 【リスク・副作用等】 ・効果には個人差があります。 ・長期間の経過により、色の後戻りがあります。 ・薬剤による反応によって、歯根吸収が生じることがあります。 |
22,000円(税込) |
| ガムブリーチ | ![]() |
歯茎の黒ずみを薬剤で除去します。 | 片顎 5,500円(税込) |
三郷で歯を白くするホワイトニング治療をご希望の方へ

ブリストデンタルクリニック三郷では、上記のようにあらゆるホワイトニング法をご用意しております。カウンセリングの上で、患者さまの症状、ライフスタイルに合わせたホワイトニングをご提案させていただきます。三郷でホワイトニングをご検討の方はぜひ、ブリストデンタルクリニック三郷までお気軽にご相談ください。


















