拡大視野で非外科治療にて歯周ポケット内の歯石を除去した症例
拡大視野で非外科治療にて歯周ポケット内の歯石を除去した症例
こちらの患者さまは、「右下6番の虫歯を治したい」「クリーニングも希望」との主訴で来院されました。
主訴である虫歯を除去し、コンポジットレジン(保険適応の白いプラスチック)にて修復を行いました。さらにマウスピースを作成し、歯科衛生士による歯周治療を開始しました。
初診時パノラマレントゲン
奥歯を中心に歯周病による顎の骨の吸収、歯茎の奥深くの歯根に沈着した縁下歯石を確認しました。
初回歯周検査の状態
奥歯に限局した深い歯周ポケットを確認しました。
※歯周ポケットが深い場所はオレンジ色の部分
※赤いラインは検査時に炎症(出血があった箇所)
※灰色の部分は歯面に沈着した歯石を表します
拡大視野下による歯石除去
通常歯周ポケットが6mmを超える深い歯周ポケットについては、歯周外科を行う場合もありますが、本症例は患者の希望により、浸潤麻酔(局所麻酔)を行い、マイクロスコープや歯科拡大鏡を用いた拡大視野の下、非外科治療にて歯石除去を行いました。
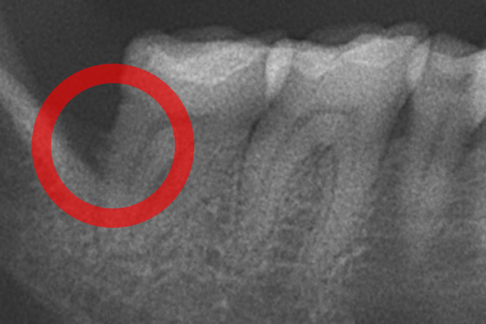
処置後、歯石の状態を確認するため、レントゲン写真を撮影しました。
右下のレントゲン写真の比較
左下のレントゲン写真の比較
歯周病検査の比較
【初診時】
【拡大視野での除石後 再評価】
患者さまの協力もあり、歯周ポケットの数値・ポケット内の炎症に改善がみられました。歯周病は再発の可能性もあるため、定期的な歯周ポケット内の洗浄並びに定期検診の重要性をお伝えしました。
| 年齢・性別 | 50代女性 |
|---|---|
| 治療期間・回数 | 4ヵ月 6回 |
| 治療費(税込) | (保険3割負担) 約16,000円 |
| リスク・注意点 | ・歯周病は後戻りが起きやすいため、日常の正しいブラッシングと共に定期受診でチェックが必要。 |
















