下顎両側の大臼歯を抜歯してインプラントで治療した症例
下顎両側の大臼歯を抜歯してインプラントで治療した症例
こちらの患者さまは、右下奥歯が腫れて痛みがあり、食べられないとのことで当院に来院されました。
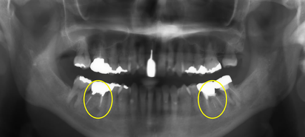
レントゲン上で右下の6番目の根の先端に大きい影が見られます。また左下も噛むと痛みがあるとのことでした。小さい根尖病巣が確認できますが、かなり大きい土台が入っていて再治療が困難な状態なため、患者さまと相談し、右下、左下の大臼歯を抜歯してインプラントで治療する計画を立てました。
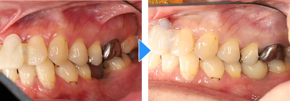
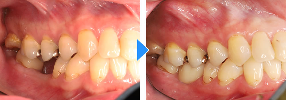
治療前後の比較
治療前後の比較画像です。患者さまにも色合い等大変、満足いただけました。
| 年齢・性別 | 50代女性 |
|---|---|
| 治療期間・回数 | 3ヵ月 5回 |
| 治療費(税込) | インプラント 990,000円 |
| リスク・注意点 | ・歯磨き不足や定期検診に来られなかったりすると、インプラント周囲炎になる可能性があります。 ・長期による経年劣化により、かぶせ物を交換しなければならない場合があります。 |










